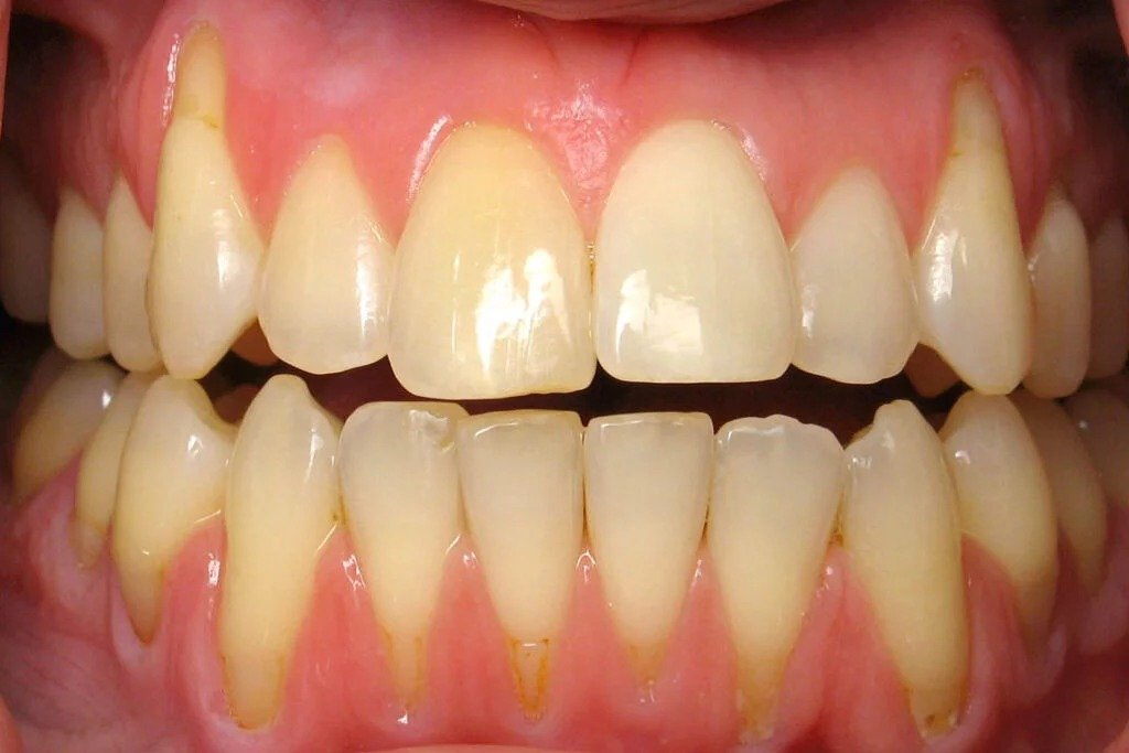
Painless Root Canal Treatment in Hyderabad

Best Root Canal Treatment in Hyderabad

Advanced RCT Specialist in Hyderabad

Best Root Canal Treatment in Hyderabad offering painless, precise, and effective solutions to save infected or damaged teeth.

Relieve tooth pain and restore your natural smile with advanced Root Canal Treatment (RCT) at The Smile Studio Dental. Our expert endodontic care focuses on removing infection, eliminating pain, and preserving your natural tooth with long-lasting results. Whether you are suffering from severe toothache, sensitivity, or dental infection, our modern RCT solutions ensure safe, comfortable, and efficient treatment.

Best Dental Clinic for Root Canal in Hyderabad

Root Canal Treatment is a highly effective procedure designed to save a decayed or infected tooth and prevent extraction. Using advanced technology and precise techniques, we ensure minimal discomfort and maximum success rates.

Root Canal Treatment in Hyderabad

✔ Painless Root Canal Procedure – Advanced anesthesia and rotary instruments
✔ Digital X-Rays & Diagnosis – Accurate infection detection
✔ Experienced Endodontic Specialists – Skilled and gentle care
✔ Single Sitting RCT Options – Quick and efficient treatment
✔ Strict Sterilization Protocols – Safe and hygienic environment
✔ Long-Lasting Dental Restoration – Crown placement for strength and protection

Root Canal Treatment in Secunderabad

From mild tooth decay to severe pulp infection, our specialists provide comprehensive root canal solutions tailored to your condition.

✨ Single Sitting Root Canal Treatment
✨ Multiple Sitting RCT for Complex Cases
✨ Re-Root Canal (Retreatment)
✨ Root Canal for Front & Back Teeth
✨ Post & Core Treatment
✨ Crown Placement After RCT

Each procedure is carefully planned to preserve your natural tooth structure and restore proper function.

Tooth Pain & Infection Treatment Hyderabad

Persistent tooth pain, swelling, or sensitivity may indicate pulp infection. Early treatment prevents further complications and tooth loss.

🛡️ Advanced Rotary Endodontics
🛡️ Apex Locator Technology
🛡️ Digital Radiography
🛡️ High Success Rate & Precision Care

At The Smile Studio Dental, we combine modern equipment with clinical expertise to deliver predictable and comfortable outcomes.

Affordable Root Canal Treatment in Secunderabad

Get premium dental care at transparent and reasonable pricing.

💡 Cost-effective RCT packages
💡 High-quality dental materials
💡 Flexible treatment options
💡 Easy EMI payment plans available

We ensure quality care without compromising comfort or safety.

Trusted Root Canal Specialist in Hyderabad

With 10+ years of dental excellence, The Smile Studio Dental is known for pain-free procedures, advanced technology, and patient-focused care.

💼 10+ Years of Clinical Experience
🔧 Modern Endodontic Equipment
🏆 Trusted by Families, Professionals & Students

From diagnosis to final crown placement, we provide a smooth, stress-free root canal experience.

Best Dentist for Root Canal in Hyderabad

Save your natural tooth and eliminate pain with advanced, painless Root Canal Treatment. If you’re experiencing tooth infection or severe dental pain, RCT is the safest and most effective solution.

📍 Location: Nallagandla, Hyderabad
📱 Call Now: +91 9032794638
🌐 Visit: https://thesmilestudiodental.com/

Best Dental Implant Services in Secunderabad

Tooth Implant Secunderabad

Get the best dental implant services in Secunderabad with expert implantologists, advanced technology, and long-lasting results. Restore your smile with permanent, natural-looking, and cutting-edge dental implant solutions. At The Smile Studio Dental, we replace missing teeth with precision, strong functionality, and impeccable aesthetics. Whether it’s a single implant, multiple implants, or a full-mouth restoration, our dental implant treatments offer durable, stable, and lifelike results.

Advanced Dental Implant Treatments in Secunderabad

Dental implants are the most reliable and modern solution for missing teeth — combining biocompatible materials, digital planning, and expert surgical techniques to restore your smile and confidence.

 

Here’s why patients across Hyderabad trust our implant dentistry services:

Personalized Implant Planning – Customized treatment based on jawbone strength, tooth position, and smile aesthetics.
Advanced Digital Implantology – 3D CBCT scans and guided implant placement for precise results.
Natural-Looking Teeth – Implant crowns perfectly matched to your natural tooth color and shape.
Long-Lasting & Durable – Titanium implants designed to last decades with proper care.
Painless & Comfortable – Minimally invasive techniques for faster healing and less discomfort.
Strong Bite & Function – Restores full chewing ability just like natural teeth.

Best Single Tooth Dental Implants in Nallagandla

From single-tooth replacement to full-mouth implant rehabilitation, our specialists ensure strong, stable, and aesthetically perfect implant results.

Single Tooth Implant – Ideal solution for replacing a missing tooth.
Multiple Teeth Implants – Replace several missing teeth with bridge-supported implants.
Full Mouth Dental Implants – Complete smile restoration using All-on-4 or All-on-6 solutions.
Immediate Implants – Tooth extraction and implant placement in one visit (case-dependent).
Implant-Supported Dentures – Stable, comfortable dentures secured with implants.
Bone Grafting & Sinus Lift – Advanced procedures for patients with low bone density.

All treatments are customized according to jaw structure, bone quality, facial aesthetics, and functional needs.

Top Implantologist Doctors Near Me in Lingampally

A perfect implant requires precision, planning, and advanced surgical expertise.🛡️ High-Quality Titanium Implants
🛡️ Digital 3D Planning & Guided Surgery
🛡️ Minimally Invasive Procedures
🛡️ Strong, Stable & Natural Results

Whether replacing a single tooth or restoring your entire mouth, The Smile Studio Dental ensures predictable, safe, and long-lasting implant outcomes.

Affordable Dental Implants in Secunderabad

Get premium implant dentistry at affordable prices.

💡 Cost-Effective Implant Packages
💡 High-Quality Implant Systems
💡 Long-Lasting Titanium Implants
💡 Easy EMI Payment Options

Enjoy a permanent new smile without compromising on quality or safety.

Trusted Dental Implant Specialists in Tellapur

With 10+ years of implant dentistry excellence, The Smile Studio Dental is known for accuracy, hygiene, and outstanding patient satisfaction.

💼 10+ Years of Expertise
🔧 Advanced Implant Technology & Digital Planning
🏆 Trusted by Families, Professionals & NRIs

From consultation to final crown placement, we ensure a smooth, efficient, and life-changing dental implant experience.

Top Dental Implant Clinic in Hyderabad

Replace missing teeth with world-class dental implants that look natural, feel real, and function like your original teeth. Whether dealing with tooth loss, loose dentures, or bite issues, we provide reliable and long-lasting implant solutions.📍 Location: Nallagandla, Hyderabad
📱 Call Now: +91 9032794638
🌐 Visit: https://thesmilestudiodental.com

 

Best Maxillofacial Surgery Clinic in Nallagandla

Expert Maxillofacial Surgeons Hyderabad

Best Maxillofacial Surgery Clinic in Nallagandla offering expert surgeons, advanced surgical techniques, and compassionate care. Best Maxillofacial Surgery in Hyderabad provides specialized treatment for facial trauma, jaw correction, oral pathology, and reconstructive surgeries—ensuring optimal functional and aesthetic outcomes.

Get the expert surgical care you deserve with precision, safety, and comfort. At The Smile Studio Dental, our maxillofacial surgeons offer comprehensive treatments designed to restore function, correct deformities, and enhance facial aesthetics. From minor oral surgeries to complex facial reconstructions, our services focus on safe, effective, and patient-centered care.

Top Maxillofacial Surgery Services in Nallagandla

Maxillofacial surgery addresses conditions affecting the mouth, jaw, face, and neck, including trauma, congenital deformities, TMJ disorders, and oral pathologies.

Here’s why patients across Hyderabad trust our maxillofacial surgical expertise.

Advanced Maxillofacial Care in Tellapur

Comprehensive Surgical Evaluation – Personalized diagnosis and treatment planning
Experienced Maxillofacial Surgeons – Skilled in both minor and complex facial surgeries
Digital Imaging & Diagnostics – Accurate 3D imaging and safe surgical planning
Minimally Invasive Techniques – Less pain, faster recovery, and optimal results
Post-Surgical Care & Follow-Up – Ensuring proper healing and rehabilitation
Functional & Aesthetic Outcomes – Restoring oral function and facial appearance

Expert Maxillofacial Surgeons in Secunderabad

From routine oral surgeries to advanced corrective procedures, our surgeons provide care with precision, safety, and patient comfort.

✨ Wisdom Tooth & Impacted Tooth Surgery
✨ Jaw Realignment & Orthognathic Surgery
✨ Facial Trauma Management (Fractures, Injuries)
✨ TMJ Disorder Treatment & Reconstruction
✨ Cyst & Tumor Removal
✨ Corrective & Cosmetic Facial Surgery
✨ Reconstructive Surgery for Congenital or Acquired Defects

Each surgical plan is carefully designed to ensure maximum safety, minimal discomfort, and long-term functional and aesthetic results.

Advanced Maxillofacial Surgery in Nallagandla

🛡️ Board-Certified Maxillofacial Surgeons
🛡️ State-of-the-Art Surgical Equipment
🛡️ Digital Diagnostics & 3D Imaging
🛡️ Sterile & Patient-Friendly Clinic
🛡️ Personalized Care & Support

Whether it’s your first consultation or complex surgery, The Smile Studio Dental ensures precise, safe, and effective maxillofacial treatment.

Affordable Maxillofacial Surgery in Secunderabad

High-quality surgical care that is accessible and budget-friendly.

💡 Transparent pricing for surgical procedures
💡 Customized treatment plans
💡 Insurance-friendly procedures
💡 Flexible payment options

We make advanced maxillofacial surgery accessible without compromising on quality, safety, or outcomes.

Trusted Maxillofacial Surgeons in Tellapur

With extensive experience in facial and oral surgeries, The Smile Studio Dental is trusted by patients for ethical care, high hygiene standards, and precision surgical outcomes.

💼 Skilled Maxillofacial Surgery Specialists
🔬 Advanced Surgical Technology & Imaging
🏆 Trusted by Patients & Families

From minor oral surgery to complex reconstructive procedures, we ensure a smooth, safe, and comfortable surgical experience for every patient.

Best Maxillofacial Surgery in Secunderabad

Protect your oral and facial health with expert maxillofacial care. Early consultation, accurate diagnosis, and timely treatment help prevent complications, restore function, and improve aesthetics—ensuring long-term health and confidence.

📍 Location: Nallagandla, Hyderabad
📱 Call Now: +91 9032794638
🌐 Visit: https://thesmilestudiodental.com/

Best Paediatric Dentistry in Hyderabad

Best Paediatric Dental Clinic in Nallagandla

Best Paediatric Dental Clinic in Nallagandla

Best Paediatric Dental Clinic in Nallagandla offering expert child dentists, painless treatments, and friendly care. Best Paediatric Dentistry in Hyderabad provides gentle, specialized dental care for infants, children, and adolescents—ensuring healthy smiles from the very first tooth.

Give your child the gift of a happy, healthy smile with expert paediatric dental care. At The Smile Studio Dental, we offer child-friendly, compassionate dental treatments designed to make every visit comfortable, safe, and stress-free. From preventive care to advanced treatments, our paediatric dentistry services focus on building strong oral health foundations and positive dental experiences for children.

Top Child-Friendly Paediatric Dental Care Services in Nallagandla

Paediatric dentistry focuses on the oral health of children from infancy through teenage years—addressing tooth development, cavities, gum health, and dental habits at every stage.

Here’s why parents across Hyderabad trust our paediatric dental services:

Best Preventive Dental Care for Children in Tellapur

✔ Personalized Child Dental Evaluation – Age-appropriate care tailored to your child’s needs
✔ Gentle & Kid-Friendly Approach – Calm, friendly environment to reduce dental anxiety
✔ Digital Diagnostics – Accurate and safe imaging with minimal radiation
✔ Painless Treatments – Advanced techniques for maximum comfort
✔ Preventive Dental Care – Early detection to avoid future dental issues
✔ Healthy Smile Development – Proper guidance for teeth and jaw growth

Top Rating Paediatric Dentist in Secunderabad

From routine checkups to specialized treatments, our paediatric dentists provide comprehensive care with patience and expertise.

✨ Children’s Dental Checkups & Cleanings
✨ Tooth-Coloured Fillings for Kids
✨ Fluoride Treatment & Sealants
✨ Treatment for Milk Tooth Cavities
✨ Space Maintainers for Growing Smiles
✨ Habit Correction (Thumb Sucking, Mouth Breathing)
✨ Emergency Dental Care for Children

Each paediatric dental plan is carefully designed to support your child’s comfort, oral development, and long-term dental health.

Advance Kids Dental Care in Nallagandla

🛡️ Experienced Paediatric Dentists
🛡️ Child-Safe Dental Equipment
🛡️ Digital Imaging & Diagnostics
🛡️ Sterile & Child-Friendly Clinic
🛡️ Gentle Care & Positive Experiences

Whether it’s your child’s first dental visit or advanced treatment, The Smile Studio Dental ensures safe, effective, and caring paediatric dental solutions.

Affordable Paediatric Dentistry in Secunderabad

Quality children’s dental care that fits your family’s budget.

💡 Affordable paediatric dental packages
💡 Preventive care plans for children
💡 Transparent pricing
💡 Easy EMI options available

We make expert child dental care accessible without compromising quality.

Trusted Paediatric Dentists in Tellapur

With extensive experience in children’s dentistry, The Smile Studio Dental is trusted by parents for ethical care, hygiene standards, and gentle treatment.

💼 Skilled Paediatric Dental Specialists
🔬 Modern Child-Focused Dental Technology
🏆 Trusted by Parents & Families

From toddlers to teens, we ensure a smooth, positive, and fear-free dental journey for every child.

Best Dentist for Children in Secunderabad

Protect your child’s smile with early and expert paediatric dental care. Regular checkups and timely treatment help prevent cavities, pain, and future dental problems—setting the stage for lifelong oral health.

📍 Location: Nallagandla, Hyderabad
📱 Call Now: +91 9032794638
🌐 Visit: https://thesmilestudiodental.com/

Advanced Gum Treatment Hyderabad

Best Gum Surgery Treatment In Tellapur

Best Gum Surgery Treatment In Tellapur

Best Gum Surgery Treatment in Tellapur – Advanced, painless, and lasting dental care by expert dentists. Book your consultation now! Best Gum Surgery in Hyderabad offers advanced periodontal treatments for healthy gums, strong teeth, and long-lasting oral health.

Restore gum health and protect your smile with expert gum surgery solutions. At The Smile Studio Dental, we provide precise, minimally invasive gum treatments using modern periodontal techniques designed for comfort, safety, and predictable healing. Whether you are experiencing gum disease, recession, bleeding gums, or bone loss, our gum surgery treatments help restore oral health and confidence.

Top Safe and Painless Gum Surgery Treatment in Tellapur

Gum surgery is an advanced dental procedure that treats gum infections, inflammation, recession, and bone-related issues—preventing tooth loss and restoring healthy support structures.

Here’s why patients across Hyderabad trust our gum surgery services:

Best Minimally Invasive Gum Surgery for Comfortable Healing in Nallagandla

✔ Personalized Periodontal Evaluation – Customized treatment based on gum condition, bone support, and oral hygiene
✔ Digital Diagnostics & Imaging – Accurate assessment of gum disease and bone loss
✔ Minimally Invasive Techniques – Faster healing with reduced discomfort
✔ Painless Surgical Procedures – Advanced anesthesia for patient comfort
✔ Long-Term Gum Health – Prevent recurrence and maintain stability
✔ Natural Aesthetic Results – Improved gum contour and smile appearance

Advanced Gum Surgery Services in Secunderabad

From early-stage gum treatment to advanced periodontal surgery, our specialists provide comprehensive care with precision and expertise.

✨ Laser Gum Surgery – Pain-free treatment with minimal bleeding
✨ Flap Surgery for Gum Disease – Deep cleaning and infection control
✨ Gum Recession Treatment – Coverage of exposed tooth roots
✨ Bone Grafting & Regeneration – Restore lost bone support
✨ Crown Lengthening – Improve tooth exposure and aesthetics
✨ Treatment for Bleeding Gums – Long-term infection control
✨ Periodontal Maintenance Therapy – Preventive follow-up care

Each gum surgery plan is carefully tailored to your gum health, dental structure, and long-term oral wellness goals.

Best Periodontal Treatment in Nallagandla

Healthy gums are the foundation of a strong, confident smile.

🛡️ Experienced Periodontists
🛡️ Advanced Laser & Surgical Equipment
🛡️ Digital Imaging & Diagnostics
🛡️ Sterile Surgical Environment
🛡️ Faster Healing & Predictable Outcomes

Whether you need gum disease treatment or advanced periodontal surgery, The Smile Studio Dental ensures safe, effective, and lasting results.

Affordable Gum Surgery in Secunderabad

Get premium gum care with transparent and affordable treatment options.

💡 Cost-effective gum surgery packages
💡 Advanced laser treatment options
💡 Flexible treatment plans
💡 Easy EMI options available

Protect your gums without compromising quality or comfort.

Trusted Gum Surgery Specialists in lingampally

With years of periodontal expertise, The Smile Studio Dental is trusted for ethical care, hygiene standards, and high patient satisfaction.

💼 Skilled Periodontal Specialists
🔬 Modern Periodontal Technology
🏆 Trusted by Professionals & Families

From diagnosis to recovery, we ensure a smooth, comfortable, and effective gum treatment journey.

Top Rating Dentist for Gum Treatment in Secunderabad

Maintain healthy gums and prevent tooth loss with advanced periodontal care. If you are experiencing bleeding gums, gum recession, or periodontal disease, timely gum surgery can restore oral health and confidence.

📍 Location: Nallagandla, Hyderabad
📱 Call Now: +91 9032794638
🌐 Visit: https://thesmilestudiodental.com/

Best Invisalign Treatment in Hyderabad

Best Invisalign Treatment in Hyderabad

Best Invisalign Treatment in Hyderabad

Best clear aligner treatment in Hyderabad

Best Invisalign Treatment in Hyderabad offers clear aligners for comfortable, discreet, and effective teeth straightening solutions.

Transform your smile discreetly with advanced Invisalign clear aligner solutions. At The Smile Studio Dental, we straighten teeth using comfortable, nearly invisible aligners designed for precision, aesthetics, and long-lasting results. Whether you have mild crowding, gaps, or complex bite issues, our Invisalign treatments help you achieve a confident, perfectly aligned smile.

Best aligner clinic in Hyderabad

Invisalign is a modern alternative to traditional braces—combining digital planning, smart aligner technology, and expert orthodontic care to deliver predictable, beautiful results.

Here’s why patients across Hyderabad choose our Invisalign services:

Invisible teeth straightening Hyderabad

Personalized Aligner Planning – Customized treatment based on tooth alignment, bite, and facial aesthetics
3D Digital Smile Simulation – See your future smile before treatment begins
Virtually Invisible Aligners – Clear, removable trays for discreet orthodontic care
Comfortable & Metal-Free – No wires or brackets, gentle on gums and cheeks
Removable Convenience – Eat, brush, and floss without restrictions
Effective & Predictable Results – Gradual, controlled tooth movement

Clear aligner treatment in Secunderabad

From simple alignment correction to comprehensive orthodontic transformation, our Invisalign-certified specialists ensure precise, safe, and aesthetically pleasing results.

Invisalign for Crowded Teeth – Gently align overlapping teeth
Invisalign for Gaps – Close unwanted spaces for a uniform smile
Invisalign for Bite Correction – Treat overbite, underbite, and crossbite
Teen & Adult Invisalign – Customized solutions for all age groups
Accelerated Invisalign Options – Faster results for eligible cases

Each treatment plan is tailored to your dental structure, lifestyle, and smile goals.

Teeth alignment treatment Hyderabad

Achieving a perfect smile requires expert planning and advanced orthodontic technology.

🛡️ Invisalign-Certified Orthodontists
🛡️ Digital 3D Scans (No Messy Impressions)
🛡️ Precise Treatment Monitoring
🛡️ Natural, Confident Smile Results

Whether you’re correcting minor misalignment or undergoing full smile alignment, The Smile Studio Dental ensures comfortable, predictable Invisalign outcomes.

Affordable Invisalign Treatment in Secunderabad

Get premium Invisalign care at transparent and affordable pricing.

💡 Cost-effective Invisalign packages
💡 Genuine Invisalign aligners
💡 Flexible treatment plans
💡 Easy EMI payment options available

Straighten your teeth comfortably without compromising quality or aesthetics.

Trusted Invisalign Specialists in Hyderabad

With 10+ years of orthodontic excellence, The Smile Studio Dental is trusted for precision care, hygiene standards, and exceptional patient satisfaction.

💼 10+ Years of Orthodontic Expertise
🔧 Advanced Digital Orthodontic Technology
🏆 Trusted by Students, Professionals & NRIs

From digital scan to your final aligner, we ensure a smooth, confident, and life-changing Invisalign journey.

Best dentist for aligners in Hyderabad

Achieve a straighter, healthier smile with clear aligners that are comfortable, discreet, and effective. If you’re looking to fix crooked teeth without metal braces, Invisalign is the perfect solution.

📍 Location: Nallagandla, Hyderabad
📱 Call Now: +91 9032794638
🌐 Visit: https://thesmilestudiodental.com/

Best Dental Implant Services in Hyderabad

Best Dental Implant Services in Secunderabad

Best Dental Implant Services in Secunderabad

Get Best Dental Implant Services in Secunderabad with expert implantologists, advanced technology, and long-lasting results. Restore your smile with permanent, natural-looking, and advanced Dental Implant solutions. At The Smile Studio Dental, we replace missing teeth with precision, strong functionality, and impeccable aesthetics. Whether you need a single implant, multiple implants, or a full-mouth restoration, our Dental Implant treatments offer long-lasting, stable, and life like results.

Advanced Dental Implant Treatments in Secunderabad

 

Dental Implants are the most reliable and modern solution for missing teeth — combining biocompatible materials, digital planning, and expert surgical techniques to restore your smile and confidence.

Here’s why patients across Hyderabad trust our implant dentistry services:

Personalized Implant Planning – Tailored treatment based on jawbone strength, tooth position, and smile aesthetics.
Advanced Digital Implantology – 3D CBCT scans and guided implant placement for precision.
Natural-Looking Teeth – Implant crowns made to match your natural tooth color and shape.
Long-Lasting & Durable – Titanium implants designed to last for decades with proper care.
Painless & Comfortable – Minimally invasive techniques with quick healing.
Strong Bite & Function – Restore full chewing ability just like natural teeth.

Best Single Tooth Dental Implants in Nallagandla

From single-tooth replacement to full-mouth implant rehabilitation, our specialists ensure strong, stable, and aesthetically perfect implant results.

Single Tooth Implant – Best solution for missing one tooth.
Multiple Teeth Implants – Replace several missing teeth with bridge-supported implants.
Full Mouth Dental Implants – Complete smile restoration using All-on-4 or All-on-6 solutions.
Immediate Implants – Teeth extraction and implant placement in one visit (case dependent).
Implant-Supported Dentures – Stable, comfortable dentures secured with implants.
Bone Grafting & Sinus Lift – Advanced procedures for patients with low bone density.

All treatments are customized according to your jaw structure, bone quality, facial aesthetics, and functional needs.

Top Implantologist doctors Near Me in Lingampally

A perfect implant requires precision, planning, and advanced surgical expertise.

🛡️ High-Quality Titanium Implants
🛡️ Digital 3D Planning & Guided Surgery
🛡️ Minimally Invasive Procedures
🛡️ Strong, Stable & Natural Results

Whether replacing one tooth or restoring your entire mouth, The Smile Studio Dental ensures predictable, safe, and long-lasting implant outcomes.

Affordable Dental Implants in Secunderabad

Get premium implant dentistry at affordable prices.

💡 Cost-effective implant packages
💡 High-quality implant systems
💡 Long-lasting titanium implants
💡 Easy EMI payment options available

Enjoy a permanent new smile without compromising on quality or safety.

Trusted Dental Implant Specialists in Tellapur

With 10+ years of implant dentistry excellence, The Smile Studio Dental is known for accuracy, hygiene, and outstanding patient satisfaction.

💼 10+ Years of Expertise
🔧 Advanced Implant Technology & Digital Planning
🏆 Trusted by Families, Professionals & NRIs

From consultation to final crown placement, we ensure a smooth, efficient, and life-changing dental implant experience.

Top Dental Implant Clinic in Hyderabad

Replace missing teeth with world-class dental implants that look natural, feel real, and function like your original teeth. Whether you’re dealing with tooth loss, loose dentures, or bite issues, we provide reliable and long-lasting implant solutions.

📍 Location: Nallagandla, Hyderabad
📱 Call Now: +91 9032794638
🌐 Visit: https://thesmilestudiodental.com/

Best Smile Designing Services in Hyderabad

Best Smile Designing in Lingampally

Best Smile Designing in Lingampally

Get Best Smile Designing in Lingampally with expert cosmetic dentists, advanced treatments, and stunning smile results. Transform your smile with precision, artistry, and advanced dental technology. At The Smile Studio Dental, we create beautiful, confident smiles that enhance your appearance and improve your oral health. Whether you need a subtle enhancement or a complete smile makeover, our Smile Designing treatments deliver natural, stunning, and long-lasting results.

Advanced Smile Designing Treatments in Lingampally

Smile Designing is not just cosmetic — it’s a blend of digital technology, dental expertise, and facial aesthetics that reshapes your smile to perfection.

Here’s why patients across Hyderabad trust our smile transformation services:

✔ Personalized Smile Makeover – Tailored treatment plans based on your facial profile and aesthetic goals.
✔ Advanced Digital Dentistry – 3D imaging, digital scanning, and mock-up previews for accurate results.
✔ Natural-Looking Results – Designed to match your personality, face shape, and natural teeth.
✔ Long-Lasting & Durable – High-quality veneers, crowns, and aligners that last for years.
✔ Painless & Comfortable – Modern techniques that ensure a smooth, comfortable treatment experience.
✔ Complete Smile Enhancement – From teeth shape, size, color, alignment, and gum aesthetics.

Complete Smile Makeover Treatments in Nallagandla

From subtle enhancements to full-mouth smile makeovers, our specialists craft smiles that look beautiful and feel natural.

Veneers & Laminates – Correct chipped, stained, or misshapen teeth with ultra-thin ceramic shells.
Teeth Whitening – Brighten your smile with safe, instant, and long-lasting whitening treatments.
Dental Crowns & Bridges – Restore damaged teeth with strong, aesthetic crowns.
Gum Contouring – Shape and balance the gum line for a harmonious smile.
Invisible Aligners / Braces – Straighten misaligned teeth with painless, clear aligners.
Full Smile Makeover – A complete transformation for a picture-perfect smile.

All treatments are customizable to your dental needs, facial features, tooth proportions, and desired smile style.

Top Rating Cosmetic Dentist in Tellapur

A perfect smile is crafted with precision, technology, and artistic expertise.

🛡️ High-Quality Dental Materials
🛡️ Digital Smile Preview Before Treatment
🛡️ Minimally Invasive & Safe Procedures
🛡️ Aesthetic & Functional Corrections

Whether it’s for special occasions, professional needs, or personal confidence, The Smile Studio Dental ensures flawless results.

Affordable Smile Designing in Secunderabad

Get premium smile enhancement treatments at affordable prices.

💡 Cost-effective cosmetic options
💡 Advanced digital technology
💡 Long-lasting veneers and restorations
💡 Easy EMI payment options available

Experience a radiant, confident smile without compromising on quality.

Trusted Smile Makeover Specialists in Nallagandla

With 10+ years of cosmetic dentistry excellence, The Smile Studio Dental is recognized for precision, hygiene, and exceptional results.

💼 10+ Years of Expertise
🔧 Advanced Technology & Customized Planning
🏆 Trusted by Families, Professionals & Celebrities

From consultation to final makeover, we ensure a smooth, reliable, and transformative dental journey.

Top Smile Designing Clinic in Hyderabad

Redesign your smile with expert care and unmatched aesthetic precision. Whether you want whiter teeth, a well-aligned smile, or a complete makeover, we deliver results that boost your confidence and personality.

📍 Location: Nallagandla, Hyderabad
📱 Call Now: +91 9032794638
🌐 Visit: https://thesmilestudiodental.com/