Restore your gum health with precision, care, and advanced techniques at The Smile Studio Dental. Achieve healthier, stronger, and aesthetically improved gums with our expert gum surgery treatments today
Healthy gums are essential for a beautiful smile—they support your teeth, protect your oral health, and enhance overall facial aesthetics. At The Smile Studio Dental, our Gum Surgery Treatments combine cutting-edge periodontal technology with exceptional precision to restore gum strength, appearance, and function.
We thoroughly evaluate your gum condition, bone structure, and oral hygiene needs to design a personalized treatment plan. Each surgery is tailored to ensure optimal healing, improved gum health, and long-lasting results, giving you a clean, confident, and healthy smile.
Removes infection and harmful bacteria, restoring gum health and preventing tooth loss with safe, effective procedures.
Reshapes uneven gums, enhances smile symmetry, and improves tooth appearance for a balanced, beautiful smile.
Deep-cleans gum pockets, removes tartar buildup, and promotes regeneration for healthier gum tissue.
Encourages natural regrowth of bone and tissues damaged by periodontitis, restoring stability and strength.
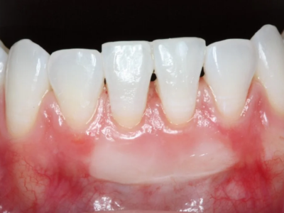
Treats gum recession by adding healthy tissue, protecting tooth roots, and restoring a natural gum line.
We are committed to sustainability. eco-friendly initiatives.
Restores gum strength and prevents future infections.
Enhances smile aesthetics with advanced periodontal techniques.
Helps protect tooth roots and prevent tooth loss.
Uses minimally invasive procedures for faster, comfortable healing.
Custom-designed treatments based on individual gum and bone condition.
Performed by experienced periodontal specialists.
A beautiful smile goes far beyond aesthetics—it boosts confidence, enhances your personality, and positively influences your overall oral health. At The Smile Studio Dental, our Smile Designing Treatment combines state-of-the-art dental technology with artistic precision to create a smile that truly reflects who you are. We carefully analyze your facial features, tooth structure, and lifestyle to design a natural, balanced, and radiant smile. Every treatment is personalized to meet your unique expectations, providing a transformative and long-lasting result.


Healthy gums are the foundation of a lasting smile—they prevent disease, boost oral health, and elevate facial aesthetics. At The Smile Studio Dental, our gum surgery treatments use modern technology and expert precision to restore balance, health, and function. Every procedure is tailored to your unique needs, ensuring long-lasting, transformative results.
Most gum surgeries take 30–90 minutes depending on the treatment needed, with fast recovery and long-term improvement.
No. Local anesthesia and minimally invasive techniques ensure comfort during and after the procedure.
Healing typically takes 1–2 weeks, depending on the type of gum surgery.
Yes. Gum contouring, grafting, and regeneration enhance both gum health and smile aesthetics.
People with gum recession, infections, deep pockets, bone loss, or uneven gums are ideal candidates.
Practice good oral hygiene, attend follow-up appointments, and maintain professional cleanings.
Achieve healthy, strong, and beautifully balanced gums. Our advanced periodontal treatments offer long-lasting, natural-looking results tailored just for you.
WhatsApp us